アポクル予約

※手術の写真を掲載しておりますので、
苦手な方はご注意ください。

犬の心臓病 僧帽弁閉鎖不全症 その2
 今回、皆さんに紹介するのは僧帽弁閉鎖不全症という犬に最も多い心臓病のお話です。小型犬に多く高齢になる程罹患率が上がります。毎年この病気でたくさんのワンちゃんが命を落としています。

心臓病と聞くと、なってしまったら非常に大変で苦しい思いをする重症な病気を想像されると思います。実際、末期には溺れているくらい苦しいと言われる肺水腫という症状を引き起こし、非常に苦しい思いをして亡くなっってしまう恐ろしい病気ではあります。

 しかしこの病気出現時はほとんど症状を呈しません。症状がないならどうやって見つかるの?と思うかもしれませんが、最初症状がない状態でも聴診器を当てればすぐにこの病気があるかどうか分かることが多いです。

 聴診して発見された僧帽弁閉鎖不全症、次に実施するのは重症度評価です。実はこの病気本当に苦しくなる症状が現れるのは30%ほど(高いと考えるか、低いと思うかは人に寄るところですね)、なのですぐに治療が必要ない場合があります。

 診断では①X線、②心臓超音波検査、③血圧測定、④心電図検査、⑤血液検査などの検査を組み合わせて僧帽弁閉鎖不全症のステージとその他の病気の合併を調べます。
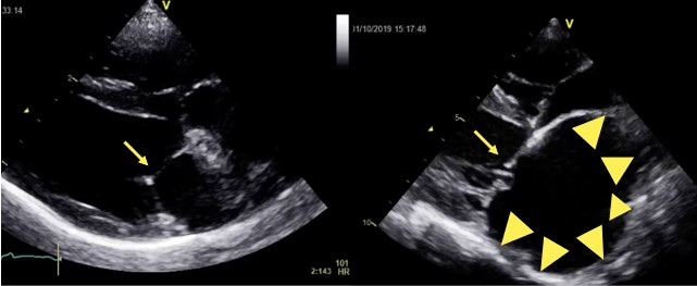
超音波検査 左:正常なワンちゃんの心臓
右:僧帽弁閉鎖不全症のワンちゃんの心臓  右の画像では、心臓のお部屋が非常に大きく拡大、僧帽弁(矢印)はボロボロに変性している。診断や評価には心臓超音波検査が有効です。
僧帽弁閉鎖不全のステージ分類
ステージB2に差し掛かったワンちゃんにはお薬を開始します。ステージB2の段階で薬を飲むと恐ろしい症状である肺水腫に進行することを遅らせることができます。
大切な家族の健康な生活のため、動物病院で定期的な検診を受け心臓に異常な音がした場合には直ちに当院へ相談ください。我々AMCグループでは最新の超音波設備を備えたAMC白金台にてワンちゃん心臓病(循環器科)の診断と治療を実施しております。
 次回はこの病気の症状についてとその治療もご紹介します。


文責、井口 プラチナ通りにある動物医療センター白金台トップページ
港区白金台4-10-11
TEL03-5739-0535