アポクル予約

※手術の写真を掲載しておりますので、
苦手な方はご注意ください。

乳腺腫瘍に関して
●乳腺腫瘍とは
乳腺腫瘍とは、文字通り乳腺に発生する上皮系腫瘍(がん)です。
乳腺に発生するしこりには、良性乳腺腫瘍/悪性乳腺腫瘍/過形成/炎症/その他の腫瘍など様々です。日本では犬猫ともに乳腺腫瘍の発生が多く、よく見かける腫瘍のひとつです。特に猫な場合は悪性乳腺腫瘍の確率が高く、適切な予防/治療が重要です。

●乳腺腫瘍と避妊手術の関係
乳腺腫瘍はメスに多く、その発生には避妊手術(卵巣子宮摘出術)の有無が深く関与していると言われています。適切な時期に避妊手術を行った場合、未避妊の場合と比較して有意にその発生を抑えられることが分かっています。
※当院では犬猫ともに、予防効果の高い初回発情前(約6ヶ月齢前後)に避妊手術することを勧めています。
●乳腺腫瘍の診断 ◇診断のために行う検査
① 身体検査        (図1 乳腺腫瘍の肉眼像)
② 細胞診検査       (図2 乳腺腫瘍の細胞診)
③ 胸部/腹部レントゲン検査 (図3 単純レントゲン画像:乳腺腫瘍の肺転移)
④ 腹部超音波検査
⑤ 血液検査
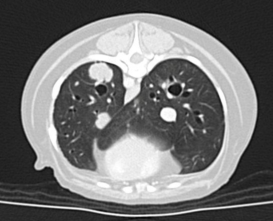
⑥ CT検査         (図4 CT画像:乳腺腫瘍の肺転移)
 –レントゲン検査/超音波検査より、詳細に遠隔転移の有無を調べられます。
⑦ 病理組織学的検査
 –手術後、確定診断の為に行います。
図1 乳腺腫瘍の肉眼像
図2 乳腺腫瘍の細胞診
図3 単純レントゲン画像:乳腺腫瘍の肺転移
図4 CT画像:乳腺腫瘍の肺転移
●乳腺腫瘍の治療
腫瘍の治療には大きく分けて外科療法/放射線療法/化学療法があり、乳腺腫瘍の場合、第一選択は外科治療になります。術式は様々で、症例に合わせて適応していく必要があり、術前検査が重要です。

乳腺にしこりを発見した際は、受診をお勧めしております。
避妊手術の相談も可能です。


獣医師 山下 諒
恵比寿からも近い動物医療センター白金台トップページ
港区白金台4-10-11
TEL03-5739-0535